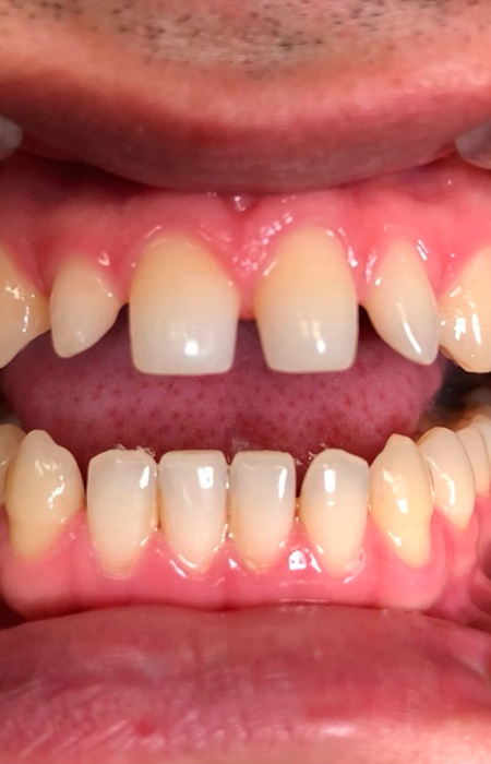
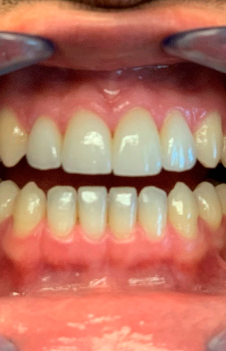
Veneers are thin, custom-made shells crafted from porcelain or composite resin. They are designed to cover the front surface of your teeth to correct a wide variety of dental imperfections. Whether you want to fix chipped teeth, discoloration, gaps, or minor misalignment, veneers can provide a solution that looks natural and feels comfortable.
At Sky Dental Care, our cosmetic dentists use the latest technology and materials to ensure that your veneers blend seamlessly with your natural teeth while enhancing your overall smile.
Many patients choose veneers because they offer both aesthetic and functional benefits. Some of the advantages include:
At Sky Dental Care in Forest Hills, we make the veneer process simple, comfortable, and tailored to your unique needs.
Consultation and Evaluation – Our dentist will examine your teeth, discuss your cosmetic goals, and determine if veneers are right for you.
Tooth Preparation – A very small amount of enamel is removed to make room for the veneer, ensuring a natural fit.
Impressions and Custom Design – We take precise impressions of your teeth to design veneers that match your smile perfectly.
Temporary Veneers – In some cases, temporary veneers are placed while your permanent ones are being crafted.
Final Placement – Once your custom veneers are ready, they are bonded to your teeth with strong dental cement for long-lasting results.
Veneers are an excellent choice for patients with:
If you are looking for a dramatic smile makeover without extensive orthodontic work, veneers could be the perfect solution.
Proper care ensures that your veneers last for many years. Our team at Sky Dental Care will provide you with aftercare instructions, which typically include:
By following these guidelines, your veneers will continue to look beautiful and function effectively for years to come.


When it comes to cosmetic dentistry, experience and precision matter. At Sky Dental Care, our skilled dentists are passionate about creating beautiful smiles while maintaining your oral health. We use state-of-the-art technology, high-quality materials, and personalized treatment plans to ensure the best outcome for every patient.
Our warm, patient-focused environment makes your dental experience comfortable from start to finish. Whether you want a subtle enhancement or a full smile transformation, we are here to help you achieve your dream smile.
Book your family’s next dental visit today and experience the Sky Dental Care difference.
At Sky Dental Care, nothing makes us happier than seeing our patients leave with healthy, confident smiles.
If you’re ready to transform your smile with veneers in Forest Hills, NY, contact Sky Dental Care today. Our friendly team is here to answer your questions, explain your options, and guide you through every step of the process.