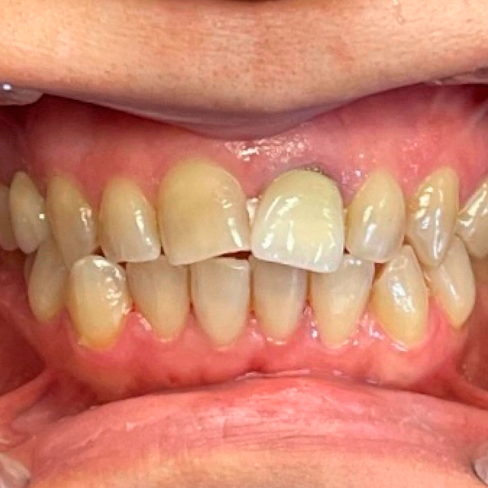
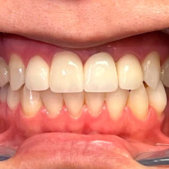
Dental bonding is a cosmetic dentistry procedure where a tooth-colored resin material is applied to the teeth, sculpted into shape, hardened with a special curing light, and polished for a natural finish. Unlike veneers or crowns, bonding requires minimal tooth preparation, making it a more conservative and cost-effective option.
At Sky Dental Care, Dr. Hacikian and Dr. Bostanci specialize in creating beautiful results that blend seamlessly with your natural teeth, so no one can tell where the bonding begins or ends.
Patients choose dental bonding in Forest Hills, NY because it offers many advantages:
Dental bonding is a versatile treatment used to address:
If you’re looking for a simple and effective way to enhance your smile, dental bonding may be the right choice.
At Sky Dental Care in Forest Hills, the bonding procedure is comfortable and straightforward:
Consultation – Our dentists will examine your teeth and discuss your smile goals.
Color Matching – A resin shade is selected to match your natural tooth color.
Tooth Preparation – The surface of the tooth is gently etched, and a conditioning liquid is applied for better bonding.
Bonding Application – The resin material is carefully shaped and sculpted.
Curing – A special light hardens the resin.
Polishing – Final adjustments are made to ensure a smooth, natural appearance.
Most bonding treatments take 30 to 60 minutes per tooth, depending on the complexity.


At Sky Dental Care, our goal is to provide high-quality, personalized dental care in a welcoming environment. Dr. Hacikian and Dr. Bostanci have years of experience in cosmetic dentistry, using the latest techniques and materials to ensure long-lasting, beautiful results.
We are proud to serve patients from Forest Hills, Rego Park, Queens, and beyond. Our office combines advanced technology with compassionate care, so you can feel confident your smile is in the best hands.
Book your family’s next dental visit today and experience the Sky Dental Care difference.
Call Sky Dental Care today to schedule your consultation with Dr. Hacikian or Dr. Bostanci and discover how dental bonding can transform your smile.